Surat (Gujarat) [India], August 22: On a hot April afternoon in Surat, the Patel family sat in a crowded hospital waiting room, clutching a CT scan report that felt heavier than paper. The words were sharp, merciless: advanced liver cancer, spread across both lobes, blocked veins, fluid buildup, bone changes. For 74-year-old Ravjibhai (name changed), the doctors spoke plainly: there was no cure left, only comfort care.
“You could say it was the moment we stopped talking about tomorrow,” remembers his nephew, Dr. Siddharth Patel. “We were quietly preparing for the end.”
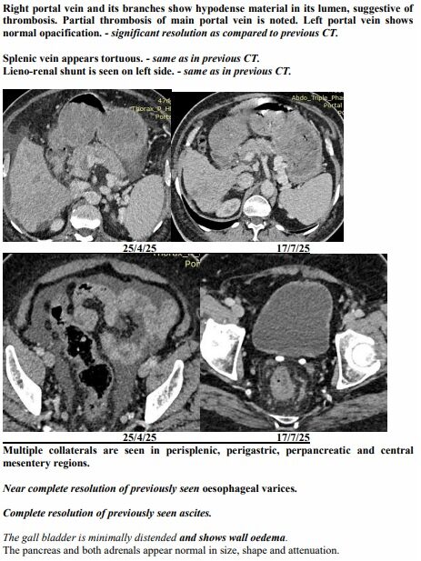
Yet just three months later, on another afternoon in July, the same family stared at a different scan. The tumours had shrunk to one patch. Blood was flowing again. The swelling was gone. Even the alarming tumour marker that had shot up to 1,000 ng/mL had fallen to 10, back in the safe zone. For a man who had been fading fast, it was a turnaround no one in the room dared to predict.
The difference between those two afternoons was a name: Dr. Ranjit Sinh Solanki, a Surat-based oncologist whose reputation runs on both herbal roots and scientific rigour. Known for treating thousands of cancer patients and publishing in international journals, Dr. Solanki is neither a mystic nor a miracle-seller. His work draws from Ayurveda, ethnobotany and pharmacology, blended into what he calls “integrative oncology.”
“People assume herbs mean guesswork,” he says, sitting in his modest clinic. “But my regimens are science-driven. They target the molecular pathways of disease, while also protecting the body from toxic side effects. It’s not alternative, it’s integrative.”
Ravjibhai’s case became proof of concept. Prescribed a personalised herbal regimen meant to reduce tumour load, restore liver function and boost immunity, he began showing slight changes in weeks. The fever broke. Jaundice eased. He ate a little more each day and walked a little further. His family noticed he was laughing again, something they hadn’t heard in months.

The July scan sealed what they were already feeling at home. The many shadows in his liver had shrunk into one. His abdomen, once swollen with fluid, was flat again. His numbers, which had scared even seasoned oncologists, were suddenly within range.
A senior radiologist who reviewed both reports told this correspondent, “Such a reversal in advanced liver cancer is extremely rare. Clinically, it borders on the unbelievable.”

Of course, medicine is cautious by nature. Experts warn that one case does not equal a cure. Clinical trials and larger studies are necessary before anyone can claim victory over such a deadly disease. But in living rooms and small temples across Gujarat, people don’t speak in clinical terms. They call it a chamatkar, a wonder.
Dr. Siddharth Patel, who referred his uncle to Dr. Solanki, remains both a believer and a doctor. “We saw him slipping away in April. By July, we saw him walking in the courtyard, asking for chai. Call it science, call it a miracle, it gave us back precious time.”
Dr. Solanki himself avoids the word miracle. “This is research, not ritual,” he insists. But he does admit one thing: India’s herbal heritage may hold answers the world has underestimated. “Our plants, our knowledge systems, they are not relics. With proper validation, they can save lives. What matters is restoring dignity, giving patients life without fear of toxicity.”
Today, Ravjibhai is stable. The disease has not disappeared entirely, but it is no longer dictating his everyday. He eats, he sleeps, he speaks with his grandchildren. For a man once written off, each day is now a gift.
And in Surat, where faith and pragmatism often walk hand in hand, the story is already spreading. A man who was told there was no tomorrow now has many tomorrows. Science will debate the details, but for his family, it is simple: he is alive, and that is enough.